Our Practice & Core Values
All orthodontic records (x-rays, photos and study models), the placement of braces, the adjustment of braces, the removal of braces and the placement of fixed and removable retainer braces are all carried out by Dr Tindall. So there is personalised care at the highest level. He works only in one dental chair and does not believe in multiple chairs and the delegation of treatment procedures to auxiliary staff.
He employs all the latest technology with a fully computerised dedicated orthodontic practice management system (OrthoTrac) , a digital x-ray unit, which emits the lowest radiation levels and in conjunction with his orthodontic technician a 3D Scanner, which captures patient impressions for the construction of a computerised digital clear aligner system All this optimises his efficiency and accuracy in treatment planning and the execution thereof. Also these digital systems greatly assist in accurate appointment scheduling to ensure that Dr Tindall always runs on time!
Coupled with the very efficient and state of the art passive self-ligating Damon brace system ensures that treatment proceeds smoothly, comfortably and in the shortest possible time.
Meet the Team
Dr. Renton Tindall
Dr Tindall qualified in 1973 as a general dentist and in 1986 as a specialist in orthodontics and since then has been involved in orthodontic practice both in Durban and in the UK. He is a member of the Health Professions Council of South Africa and is registered on the Specialist List. He is a member of the South African Society of Orthodontists and the South African Dental Association.
Mrs. Lindsay Bosch
Lindsay obtained her Bachelor of Commerce Degree in 1994. She then traveled overseas and returned to Durban and has been a practice manager since 1999. Lindsay has recently passed her dental nursing exams with distinction so now is also a fully registered dental assistant.
Pretty Mchunu
Pretty joined the practice in 2012 to take charge of the cleanliness of the rooms. Her duties include the sterilization of all instruments with the autoclave, cross infection control, surface disinfection and general tidiness. Pretty has also been trained to assist at reception by receiving phone calls and scheduling appointments.
Oral Hygiene Services
Oral health is essential to general health and well-being at every stage of life. The mouth serves as a "window" to the rest of the body, providing signs and symptoms of general health disorders.
Good oral health is therefore important as any other part of the body and is often neglected to the detriment of the body's total health system.
Severe gum disease (periodontitis), apart from the risk of tooth loss, has now been positively linked to heart disease, forms of arthritis, diabetes and even cancer!
We refer to an oral hygienist, Kathy, who is qualified to work independently and offers the following services:
- Full oral health and radiographic assessment of teeth, gums and associated structures
- Oral hygiene instruction
- Teeth cleaning (scale and polish)
- Deep scaling for severe gum disease
- Fluoride treatment
- Fissure sealants for children
- Teeth whitening
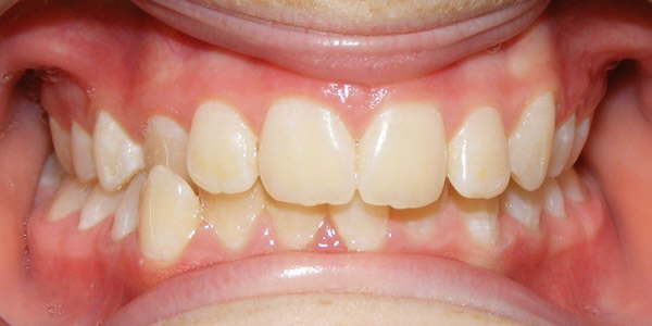
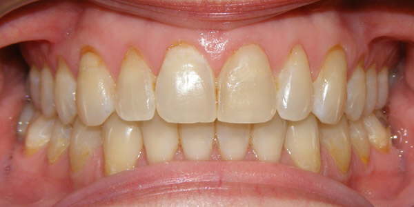
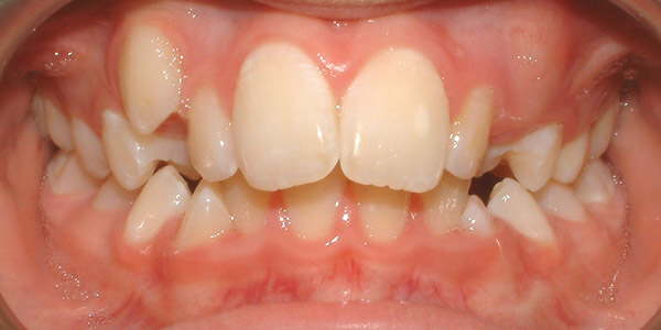
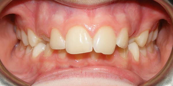
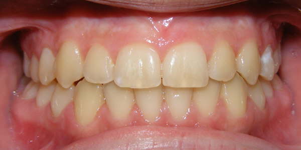
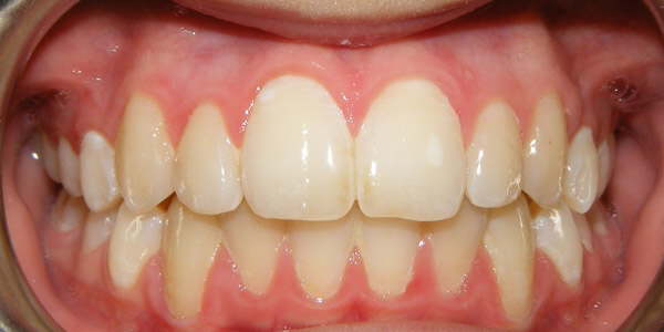
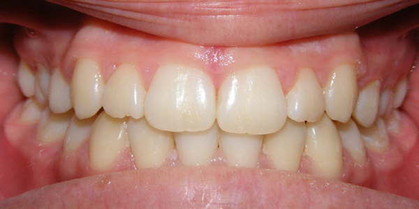
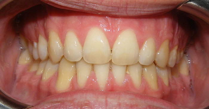
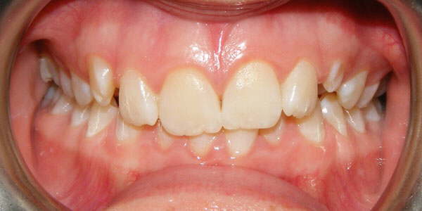
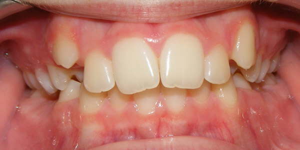
Before & After Gallery
We love to see our patients smile! Here are some of our best before-and-after pictures,
all in one fantastic Smile Gallery




















